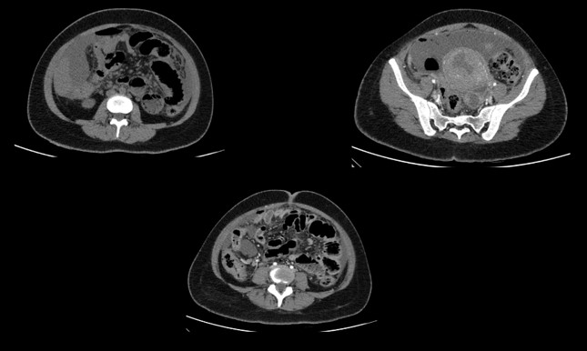
Patient presented in ER with history of not passing urine and stools since 1 day  Complains of abdominal discomfort and 5 episodes of vomiting.

Patient presented in ER with history of not passing urine and stools since 1 day  Complains of abdominal discomfort and 5 episodes of vomiting.

View Case

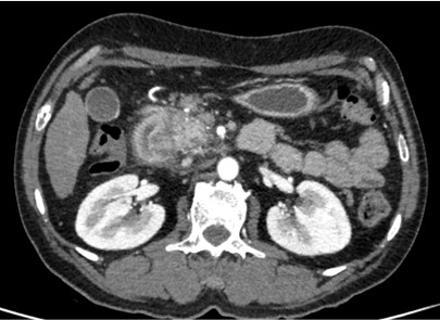
48 year old male Presented with history of 3 episodes of melena. No known comorbidities Gastro -Duodenoscopy - Erosive duodenitis Colonoscopy – unremarkable.

48 year old male Presented with history of 3 episodes of melena. No known comorbidities Gastro -Duodenoscopy -Erosive duodenitis Colonoscopy – unremarkable.

View Case

Presented with complaints of fever since 2 days. Headache and vomiting since 1 day. Noticed right eye swelling since 1 day morning which suddenly increased in size over the course of the day.

Presented with complaints of fever since 2 days. Headache and vomiting since 1 day. Noticed right eye swelling since 1 day morning which suddenly increased in size over the course of the day.

View Case

A 1-month-old male infant presented with complaints of midline swelling in the postero-superior region of head.

View Case

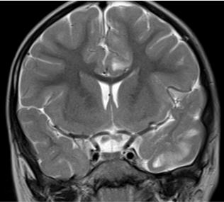
45 year old female presents with complaints of headache, giddiness and occasional vertigo for which MRI Brain was advised.

45 year old female presents with complaints of headache, giddiness and occasional vertigo for which MRI Brain was advised.

View Case

A 39 year old female presented with lower back pain and leg pain since 3 months.

A 39 year old female presented with lower back pain and leg pain since 3 months.

View Case

A 13 year old female with complaints of recurrent swelling with on and off pain in left cheek for 7 years, 5-6 episodes/year. Pain on chewing also present.

A 13 year old female with complaints of recurrent swelling with on and off pain in left cheek for 7 years, 5-6 episodes/year.Pain on chewing also present.

View Case

A 52 year old male presented with complaints of pain on left side of face radiating to head Recurrent seizure (last episode 3 years ago), on medication.

A 52 year old male presented with complaints of pain on left side of face radiating to head Recurrent seizure (last episode 3 years ago), on medication.Previous H/O invasive rhinocerebral fungal sinusitis (5 years ago) with post FESS and craniotomy status

View Case